By NephCure Inc, 13 February, 2025

Introduction
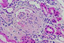
Kidney health is a vital component of overall well-being, yet many people remain unaware of the intricate factors that can impact kidney function. At NephCure Inc., we are committed to shedding light on the complexities of kidney diseases, particularly those linked to genetic and immune factors. In this blog, we will delve into the causes of Focal Segmental Glomerulosclerosis (FSGS) and explore the treatment options for Congenital Nephrotic Syndrome, providing valuable insights for those affected by these conditions.

Category

By studycert, 13 February, 2025

Become a certified cloud architect with the (OCI) Oracle Cloud Infrastructure 2024 Architect (1Z0-997-24) certification! This exam validates your ability to design scalable, secure, and highly available cloud solutions using OCI. Learn about networking, security, hybrid cloud architecture, and best practices for building cloud-native applications. As businesses migrate to the cloud, skilled OCI Architects are in high demand.

Category

By Southwest, 13 February, 2025

Maximize your savings on Southwest Airlines with the Swa Low Fare Calendar! This powerful tool lets you compare fares for different travel dates, helping you secure the best prices. Whether you're planning a last-minute trip or booking in advance, the Southwest Low Fare Calendar makes it easy to find budget-friendly options. The Southwest Airlines Low Fare Calendar is designed to help you travel smarter and save more.

Category

By starfeed, 13 February, 2025

In today’s fast-paced world, making information engaging and easy to understand is more important than ever. With businesses and educators alike looking for innovative ways to present information, converting documents into multimedia formats has become a game-changer. Brainy Documents, a leader in document management and conversion tools, offers an incredibly useful solution: the PDF to video converter. This tool not only enhances the way you present static PDFs but also brings your content to life by turning them into dynamic, engaging videos.

Category

By starfeed, 13 February, 2025

In a world dominated by visual content, transforming static PDFs into dynamic explainer videos has become a game-changer for businesses, educators, and content creators. Enter Brainy Documents, a company dedicated to revolutionizing the way we present information. With their cutting-edge PDF to Explainer Video solutions, Brainy Documents offers a unique service that brings documents to life through engaging animations, voiceovers, and customized visuals.

Category

By RituPatel, 13 February, 2025

 India's mushroom market has been experiencing steady growth in recent years, driven by increasing consumer awareness of health benefits, rising demand for alternative protein sources, and advancements in cultivation techniques. Mushrooms, which were once considered a niche product, are now becoming an integral part of the Indian diet, particularly among health-conscious consumers and vegetarians. The industry is evolving with the adoption of modern farming techniques, government initiatives, and the emergence of organic and exotic mushroom varieties.

Category