Advancing Kidney Health: Understanding Focal Segmental Glomerulosclerosis Causes and Congenital Nephrotic Syndrome Treatment

By NephCure Inc, 13 February, 2025
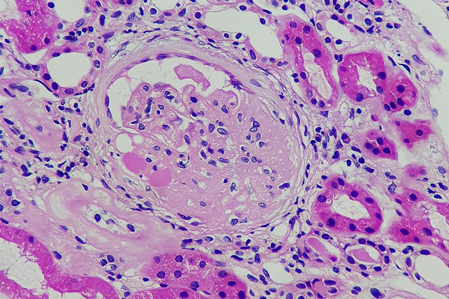
Focal Segmental Glomerulosclerosis Causes

Introduction
Kidney health is a vital component of overall well-being, yet many people remain unaware of the intricate factors that can impact kidney function. At NephCure Inc., we are committed to shedding light on the complexities of kidney diseases, particularly those linked to genetic and immune factors. In this blog, we will delve into the causes of Focal Segmental Glomerulosclerosis (FSGS) and explore the treatment options for Congenital Nephrotic Syndrome, providing valuable insights for those affected by these conditions.

Focal Segmental Glomerulosclerosis Causes
Focal Segmental Glomerulosclerosis (FSGS) is a type of kidney disease that affects the glomeruli—the tiny filtering units within the kidneys. The term "focal" refers to the fact that only some of the glomeruli are affected, while "segmental" indicates that only parts of each affected glomerulus are scarred. This scarring leads to impaired kidney function and proteinuria, where large amounts of protein are lost in the urine. FSGS can occur in both children and adults and is one of the leading causes of kidney failure.

The Focal Segmental Glomerulosclerosis causes can be categorized into primary and secondary factors:

Primary FSGS: The exact cause of primary FSGS is often unknown, but it is believed to involve genetic mutations and abnormalities in the immune system. Primary FSGS can occur spontaneously without any identifiable underlying condition.

Secondary FSGS: This form of FSGS is caused by other conditions or factors that lead to kidney damage, such as:

Infections: Viral infections like HIV and hepatitis B can trigger FSGS.

Obesity: Excessive body weight can put a strain on the kidneys and lead to FSGS.

Medications: Certain drugs, such as anabolic steroids and chemotherapy agents, can cause FSGS.

Reflux Nephropathy: A condition where urine flows backwards from the bladder into the kidneys, causing damage.

Other Health Conditions: Conditions such as hypertension, diabetes, and sickle cell disease can contribute to the development of FSGS.

Understanding the underlying causes of FSGS is crucial for developing effective treatment strategies and improving patient outcomes.

Congenital Nephrotic Syndrome Treatment
Congenital Nephrotic Syndrome is a rare kidney disorder that typically manifests in infancy, often within the first three months of life. This condition is characterized by the kidney's inability to filter waste products from the blood effectively, leading to excessive protein loss in the urine (proteinuria) and severe swelling (edema). Managing Congenital Nephrotic Syndrome can be challenging, but various treatment options are available to help improve the quality of life for affected individuals.

Treatment Approaches for Congenital Nephrotic Syndrome
Congenital Nephrotic Syndrome treatment focuses on managing symptoms, preventing complications, and slowing disease progression. Some common treatment approaches include:

Medications:

Diuretics: These medications help reduce fluid buildup and swelling by increasing urine output.

ACE Inhibitors and ARBs: These drugs can help manage high blood pressure and reduce proteinuria by protecting the kidneys' filtering units.

Immunosuppressive Agents: In some cases, medications like corticosteroids and cyclophosphamide may be used to suppress the immune system and reduce inflammation in the kidneys.

Dietary Changes: A kidney-friendly diet can help manage symptoms and improve overall health. This may include reducing sodium intake, limiting protein consumption, and avoiding foods high in potassium and phosphorus.

Nutritional Support: Infants with Congenital Nephrotic Syndrome may require specialized nutritional support to promote healthy growth and development. This can include protein supplements and dietary modifications to ensure adequate calorie and nutrient intake.

Infection Prevention: Due to the increased risk of infections, it is important to take preventive measures, such as vaccinations and practising good hygiene. Antibiotics may be prescribed to treat or prevent infections.

Dialysis: In cases of severe kidney dysfunction, dialysis may be necessary to help remove waste products and excess fluid from the blood. Dialysis can be a temporary measure while waiting for a kidney transplant or a long-term treatment option.

Kidney Transplant: For individuals with end-stage renal disease (ESRD), a kidney transplant may be considered. This involves replacing the damaged kidney with a healthy kidney from a donor. A kidney transplant can significantly improve the quality of life for those with Congenital Nephrotic Syndrome.

Conclusion
Understanding the causes of Focal Segmental Glomerulosclerosis and the treatment options for Congenital Nephrotic Syndrome is essential for early detection and effective management. At NephCure Inc., we are committed to providing valuable information and support to those affected by these conditions. By raising awareness and promoting research, we aim to improve the lives of individuals living with kidney diseases.

If you or someone you know is experiencing symptoms related to FSGS or Congenital Nephrotic Syndrome, it is important to seek medical advice and explore available treatment options. Together, we can work towards better kidney health and a brighter future.